
儿童疾病专题是妈妈宝宝网儿童疾病精心为大家收集整理的,提供有关于儿童疾病的相关知识文章,是妈妈宝宝网以及众多网友分享的有关于儿童疾病相关经验和体会,以及其有关问题的提问和解答。
目前全球新冠肺炎疫情,正处在第二次的爆发期,各国确诊人数飙升,美国的死亡人数更是创新高,各国纷纷拉起红色警报,就怕二度重创经济。...
一个满脸忧愁的阿嬷跟妈妈一起带著不到一岁的宝宝来看诊,宝宝看来活力很好,不像生病了。脱下袜子之后,一双「黄澄澄」的脚丫子露了出来。 他最近手脚开始变黄,皮肤也变黄了,我们自己一开始没觉得怎么样;但最近黄的我们看了都有觉得有点可怕,想说是不是宝宝肝不好,不知道有没有黄疸啊?...
通常新生儿出生24小时后,便开始一连串的预防针接种时程,一直到小学前都有排定的疫苗需注射,而水痘疫苗将于出生满12个月时接种,没想到台中这名女婴竟在疫苗接种前感染水痘。...
儿童死因中,儿童罹癌死亡的比例仅次于意外。而其中最常见的儿童癌症就是「急性淋巴性白血病」。可怕的是发作症状并不明显,大人该如何察觉、又该如何调整自己跟孩子的身心灵,尽快接受正规疗程?...
若在超市遇到大排长龙,孩子又吵著口渴或想吃购物车里的食物,身为家长的你,会如何处理?是先让孩子吃,还是一定要等到结完帐再给孩子?这样的两难情况,也在网上引起讨论。...
本土疫情再起,陆续爆出不明原因感染者,而这一波Omicron疫情中,幼儿确诊者患者人数明显增加,不少家长在儿科诊间忧心地询问医师,「该回老家过年吗?」...
儿童死因中,儿童罹癌死亡的比例仅次于意外。而其中最常见的儿童癌症就是「急性淋巴性白血病」。可怕的是发作症状并不明显,大人该如何察觉、又该如何调整自己跟孩子的身心灵,尽快接受正规疗程?...
当大家全力关注新冠肺炎时,其实幼儿间仍有需随时注意的疾病,如:肠病毒、流感等。节目《医师好辣》中,小儿科医师就分享一个幼儿肠病毒的病例,令人震惊的是孩子从发病至病逝,仅有不到3天的时间。...
艺人王思平婚后与老公育有一女米果,前阵子她在节目中分享,自己刚成为新手妈妈时,因女儿无预警的癫痫抽蓄,让自己担忧不已,后来竟发现原因与洗澡环境有关!...
新冠肺炎又见变异病毒?据传英国、美国、西班牙等各国,陆续出现多名儿童出现不明原因的急性肝炎症状,有些甚至严重到需要肝脏移植。目前WHO已列警戒,正在全力研究该肝炎的起因。...
随著宝宝的快速成长,此时的宝宝已逐步拥有足够的活动力,也更具有好奇心,能进一步探索周遭世界。这阶段有些有趣的生活小动作,父母平日里不妨带著宝宝一起进行。...
粪便,虽然是食物残渣的排泄物,却隐藏著诸多健康的讯息,尤其婴幼儿还无法用言语表达身体的不适,家长却可透过粪便来判断宝宝的健康与否。...
要判别自己是否为过敏族群,有一个比较简单的方法,不论是大人或小孩,一旦发现感冒症状持续一个星期以上未痊愈,并诱发一些下呼吸道症状,都可能是过敏体质的表现。简单来说,过敏是人体免疫系统接触到外来物质,所产生比较激烈的一种免疫反应。...
继台湾出现2例二岁男童,因感染新冠肺炎并发急性脑炎抢救无效后,截至5月22日,本土已出现12例儿童重症,使得同样家有幼童的家长心慌慌,也让儿童疫苗接种持续引发关注,专家建议符合资格的儿童接受新冠肺炎疫苗。至于无法接受新冠肺炎疫苗的婴幼儿,或可慎重考虑针对同样对幼童具威胁性的肺炎链球菌来加强保护力,如果能够全家都打疫苗,形成肺炎保
当孩子(特别是年纪介于 1.5~3 岁的小儿)生病时,喂药时间一到总是会折腾父母许久;小人儿不是到处跑著说「不要吃药」,躲给大人追,就是被抱紧压制,哭得声嘶力竭,口中硬被灌进药水。这番乱哄哄的景象,相信新手爸妈都不感到陌生。如果你也为此事感到苦恼,快来学学这招「鱼目混珠」的喂药方法,包准你大为吃惊,孩子居然乖乖把药吃完了!...
新竹一名4岁女童因突然肚子痛和呼吸急促到新竹台大分院新竹医院急诊,经胸部X光未发现肺炎的浸润,但女童的呼吸异常费力且血氧下降,经诊断为严重气喘急性发作,进入加护病房戴上非侵入性呼吸器并用上全身性类固醇与密集的吸入性气管扩张剂治疗,终于在一周内顺利出院,气喘状况也在吸入性类固醇的使用下控制良好。...
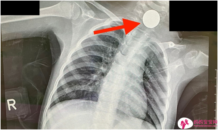
家中准备好防撞地垫、安全围栏,爸妈们杜绝了一切可能伤害宝宝的风险,但家中还隐藏了另一重危机。玩具巴克球、电池、硬币、磁铁、干燥剂等一切日常小物品都有可能被好奇心重...
日前一位年轻妈妈,因为女儿脸部被虫叮咬,想帮1岁半的女儿止痒舒缓,于是用了从国外网购回来的贴布,没想到非但没止痒消肿,反而更严重起了脓疱,就医后才发现宝宝有异位性皮...
癌症,不是成年人的专利;儿童癌症,也不再是陌生遥远的名词。父母照顾婴幼儿时,若发现异常,属于儿童癌症9大警征之一时,请一定要找儿童血液肿瘤科医师做详细检查。 依照卫...
6岁的小鱼儿为急性骨髓性白血病(AML)病童,她在1岁10个月大时发病,当时与同年龄小朋友相较,显得瘦矮,加上挑食,没有食欲,让家长相当焦急。所幸营养师提供营养处方、健康食...
深圳一岁零9个月大的女婴巧巧(化名),因为呕吐被送到医院,初步诊断为急性腹泻病,熟料在第二天突发抽搐症状,最终未能抢救成功,在大年初七晚上宣告死亡。...