网络正规PM娱乐城

2月大男婴无端「狂吐哭闹」竟被诊断患「婴儿血管瘤」!

发布时间:2022-09-15 19:41
标签: 宝宝疾病
婴儿血管瘤的黄金治疗期,大约落在出生一个月左右。...

    婴儿哭闹在一般的认知里,是非常正常的事情,因为那是他们表达需求的方式,但有时候这些看似正常的举止,其实是孩子的身体发出的警讯。台中市一名1岁5个月的男童小俊(化名),在出生1个月左右时,常呕吐、哭闹,就诊后,却被医师诊断出罹患「婴儿血管瘤」。
 

2月大男婴无端「狂吐哭闹」竟被诊断患「婴儿血管瘤」!


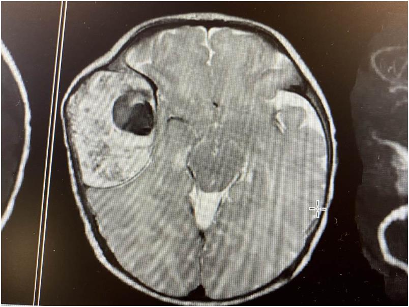
小小身体,却得承受开颅手术

    医师表示,当时小俊头部右侧肿胀,使用磁振造影显示,孩子的颅骨有肿瘤,最大直径5公分,压迫到脑干、侵犯头骨,肿瘤内有出血、血管丰富、有中脑膜动脉充血。虽然切片结果显示该肿瘤为良性,但仍因压迫到脑干,被判定相当危险。医师团队在整个治疗的过程都相当谨慎,经过一系列复杂的的治疗后,孩子脑内的肿瘤变小,瘤厚度由4.5公分降至1.8公分,脑干减压。当孩子完成开颅手术后,已将肿瘤完全切除,并追踪至今。

婴儿血管瘤,好发于头颈部

    婴儿血管瘤因血管内皮细胞增生而产生,好发于头颈部,但长在颅骨相对少见。其治疗方式包括药物、手术、栓塞等,小俊的例子因婴儿血管瘤造成脑干压迫,且肿瘤血管丰富,医师觉定先使用药物让肿瘤缩小,再用血管栓塞,降低婴儿手术大失血的风险!
   
    位在头颈部的血管瘤,因为脸部的肌肉受到笑、哭、咀嚼、吸允等动作牵引,导致随时可能拉扯到血管瘤,造成出血或者溃疡。根据国外的统计,大部分婴儿都没有在黄金治疗期1个月以内治疗,原因是因为这些血管瘤看起来会像一抹淡淡的红线,导致被家长忽略,直到血管瘤快速膨胀后,才惊觉为时已晚。

   
    由于血管瘤很常被父母误以为是胎记或是葡萄酒色斑,但因斑纹不是血管增生导致,而是血管扩张,若是葡萄酒色斑,皮肤表面摸起来会比较平滑不会凸凸一块,按压部位的时候会暂时消退,如果仍对孩子身上的状况有疑惑,凡事小心谨慎,也建议带去给医师检查,若不是可以让父母安心,若检查出来为血管瘤,方便医师安排后续治疗。

 


发表评论
请自觉遵守互联网相关的政策法规,严禁发布色情、暴力、反动的言论。
评价:
用户名: 验证码:点击我更换图片
免责声明:本文仅代表作者个人观点,与妈妈宝宝网无关。其原创性以及文中陈述文字和内容未经本站证实,对本文以及其中全部或者部分内容、文字的真实性、完整性、及时性本站不作任何保证或承诺,请读者仅作参考,并请自行核实相关内容。
  • 宝宝疾病
  • 今年的流感疫苗一定要打!才是面对免疫债的积极作为
    今年的流感疫苗一定要打!才是面对免疫债的积极作为
  • 7岁亚斯伯格男童看回收阿嬷没吃,主动送生日餐!
    7岁亚斯伯格男童看回收阿嬷没吃,主动送生日餐!
  • 异位性皮肤炎换季发威!皮肤乾痒宝宝好受苦,怎么办?小儿科医师来解答!
    异位性皮肤炎换季发威!皮肤乾痒宝宝好受苦,怎么办?小儿科医师来解答!
  • 拉拉不要来—怎么KO轮状病毒,保护心肝宝贝?
    拉拉不要来—怎么KO轮状病毒,保护心肝宝贝?
  • 全身痒不代表是过敏1岁童指缝惊见虫穴道,是一人感染全家病的「疥疮」
    全身痒不代表是过敏1岁童指缝惊见虫穴道,是一人感染全家病的「疥疮」
  • 今年首例新生儿感染「李斯特菌症」致死率达3成!
    今年首例新生儿感染「李斯特菌症」致死率达3成!
 188BET外围线上(官方)网站/网页版登录入口/手机版登录入口-最新版(已更新) 权威朗驰娱乐足球网(官方)网站/网页版登录入口/手机版登录入口-最新版(已更新) 雷火竞技知名最大推荐(官方)网站/网页版登录入口/手机版登录入口-最新版(已更新) 朗驰娱乐推荐(官方)网站/网页版登录入口/手机版登录入口-最新版(已更新) PM娱乐城体育充值(官方)网站/网页版登录入口/手机版登录入口-最新版(已更新) 权威boyu·博鱼足球网址(官方)网站/网页版登录入口/手机版登录入口-最新版(已更新) 半岛网上滚球论坛(官方)网站/网页版登录入口/手机版登录入口-最新版(已更新) 真人盛凯国际足球平台(官方)网站/网页版登录入口/手机版登录入口-最新版(已更新)