4个月前才流产茶花女莉娅晒超音波证实怀孕「谢摇滚回到我们身边」
发布时间:2022-09-28 11:17
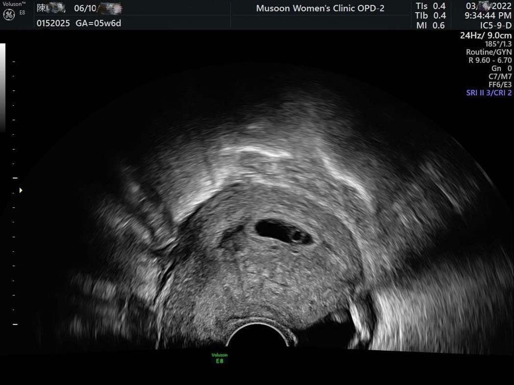
茶花女莉娅(陈缃妮)之前才宣布与谢和弦离婚,不过谢和弦发文开心宣告要当爸爸的喜讯,而随后莉娅也PO出超音波照,证实怀孕的喜讯。茶花女莉娅在去年11月初就曾发文惊吐流产,当时她没有发觉自己怀孕,直到出...
茶花女莉娅(陈缃妮)之前才宣布与谢和弦离婚,不过谢和弦发文开心宣告要当爸爸的喜讯,而随后莉娅也PO出超音波照,证实怀孕的喜讯。

茶花女莉娅在去年11月初就曾发文惊吐流产,当时她没有发觉自己怀孕,直到出现不明出血症状,去医院检查后才发现已怀孕不过已自然流产,网友还酸她「报应」,如今相隔4个月,她发文证实再度怀孕,并心怀感激的写道「谢摇滚回到我们身边了,谢谢大家的关心,感恩的心」。

免责声明:本文仅代表作者个人观点,与妈妈宝宝网无关。其原创性以及文中陈述文字和内容未经本站证实,对本文以及其中全部或者部分内容、文字的真实性、完整性、及时性本站不作任何保证或承诺,请读者仅作参考,并请自行核实相关内容。
你知道孕酮低的症状是什么
王瞳「有了」!挺孕肚现身妇产科网吓歪
孕期肚子不显怀,是胎宝宝发育不良?
孕期尿频尴尬如何轻松应对尿频带来的尴尬
准妈妈不宜穿三种鞋(孕期注意事项)
新妈妈怀孕后遭遇5大尴尬事教你如何从容面对!